郑先生成为首位麦芽公益种牙受益者
麦芽智能AI在线 · 点击咨询 来源:麦芽糖编辑社 更新:2019-11-12 20:01
接诊范围·专精疑难
MAC博士智库
专注高龄疑难缺牙
进入医生列表甄选系统·国际品质
六大系统认证
数字化种牙示范基地
植体拥有唯一编码数字科技·精确种牙
运用数字科技
让疑难种牙变简单
申请方案设计数字化口腔精确科技倡导者
以修复为导向
一站式种牙与修复
了解更多*说明:文章信息仅供参考,不作为临床口腔医学诊断依据。
免费种牙日,麦芽送大礼
在2015年12月19日至2016年1月9日麦芽口腔举办的"深圳寻找缺牙人,免费种牙"公益活动中,郑先生成为为免费种牙的首位幸运者。

郑先生成为免费种牙的首位幸运者
外伤致缺牙,吃饭不给力
数年前,郑先生因外伤致左下7号牙根断裂之后将牙根拔掉。缺牙后的郑先生进食都只能用右侧咀嚼,因拔掉左下7号牙正是功能咀嚼牙,"自从拔牙后我就一直用右侧咀嚼,常常是肚子还没填饱,牙齿就很累、很酸痛了,所以当时就想,真的不能在忍了,一定要想办法把这颗牙"补"上去。"
但是,对于做烤瓷牙修复郑先生是存在顾虑的,他说:"我觉得烤瓷牙修复虽然也是现在被广泛使用的修复方法,但是要破坏患者口内的天然牙自己是不能接受的,所以在看到麦芽口腔‘全城寻找缺牙人,免费种牙’的活动后,我马上来麦芽报名。而且,在来到麦芽接受了高品质的免费口腔检查之后,当下就觉得一定要在麦芽口腔种好牙,麦芽口腔给我的服务太好了,不管有没有中奖。"

郑先生向医生了解种植牙情况

医生为郑先生做口腔检查
缺牙不重视,单侧咀嚼危害多
对于郑先生目前的情况,麦芽口腔种植医师团队在看了郑先生拍的口腔CT片后指出:"因为单侧咀嚼,可以造成废用的一侧因无咀嚼功能的刺激而发育不足,而咀嚼侧由于过度用力,咀嚼肌也较发达,久而久之,面部两侧出现显著的大小不对称,直接影响面部美观。其次,每当牙齿咀嚼食物时,可以起到清洁牙齿的作用,这就是牙的自洁作用。而废用侧牙齿因无咀嚼功能,自洁作用丧失,可以造成废用侧牙垢堆积,渐渐形成牙结石,久而久之,牙结石也越积越多,易诱发牙周疾病,即牙龈发炎,出血、口臭,牙齿松动,脱落等。"

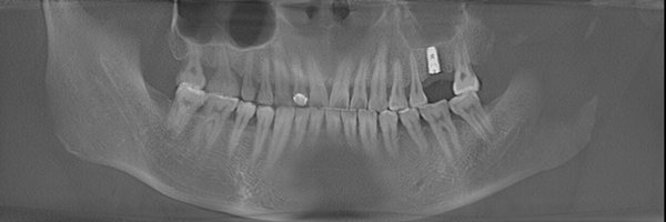
郑先生口腔全景ct拍摄

郑先生口腔内部全景片

种牙成功后的郑先生口腔ct全景
他说:"作为第一届活动获得免费种牙的幸运儿,我首先要感谢麦芽口腔,深圳麦芽口腔的这次公益援助完全是为了口腔患者服务,因为我们都是来自各个地方最普普通通的百姓,平时对牙齿的保护认识不够,才导致了牙齿的受损。这次的种牙体验让我感受到麦芽雄厚的技术力量及精细的服务态度,真的不知道该说什么,我只能代表大家再次由衷向麦芽表示感谢。"
*提交信息后,工作人员将致电回访,与您确定到院时间,小麦为您自动排号,为您节省看牙的时间。
















转载
咨询















































