八十老翁:“全口牙缺失,能接诊的医院不多了
麦芽智能AI在线 · 点击咨询 来源:麦芽糖编辑社 更新:2019-11-05 09:51
 
                    
                    *说明:文章信息仅供参考,不作为临床口腔医学诊断依据。
过去的困扰
年纪接近80了,我缺牙太久,牙齿基本都掉光了。刚开始缺牙的时候,啥都不在意,戴上活动牙照样吃喝,随着时间越来越久,牙齿的问题越发明显,邻牙首当其冲开始松动,对颌牙好像也变长了,口臭也越发严重。拖拖拉拉到现在,一口好牙基本都下岗了。后知后觉,缺牙的危害当下是感受不到的,但时间一拉长,啥问题都出来了。牙齿稀稀拉拉,美食吃不得,身体越来越差了,每天基本就喝点粥,吃个饭都是奢望!
	 
  
 
改变开始
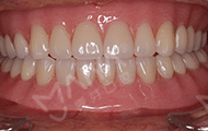
2017年6月 全口种植牙手术成功,感谢麦芽专家团队!
我的牙齿情况比较严重,长期缺牙,不仅缺的数目多,而且骨量出现了萎缩。虽然说麦芽的博士专家团,给我做了all-on-4种植的方案,但还需要结合骨增量来夯实地基。缺牙后提前种牙的好处,就是不会像我一样,出现严重的骨萎缩了。好在麦芽的医生种牙实力很过瘾,我现在四颗钉基本就撑起了半口牙齿,费用真的比单颗单颗种牙,节省了很多!
	 
  
 
	 
2016年11月 全口牙齿都缺失了,相信麦芽的医生!
缺牙的苦楚,我比谁都明白。年纪大了,就希望吃点好的,出去逛逛,享受下晚年的安逸和幸福。缺牙的年轻人啊,要吸取我的教训,别等一口好牙都稀稀拉拉的掉了,才考虑修复,期间的健康、生活的质量都直线下降,实在不值得。
	 
  
 
*提交信息后,工作人员将致电回访,与您确定到院时间,小麦为您自动排号,为您节省看牙的时间。




 
			







 
                                         
                                         
                                             
                                         转载
                                        转载
                                         咨询
                                        咨询
                                     
                                                 
                 
                 
                 
                 
        				 
        				













































