吃都吃不了 哪有心情去旅行—78岁退休老人种牙记
麦芽智能AI在线 · 点击咨询 来源:麦芽糖编辑社 更新:2020-04-11 15:38
*说明:文章信息仅供参考,不作为临床口腔医学诊断依据。
过去的困扰
人到晚年,生活品质尤为重要,去旅行、享口福都是提升生活品质的方式。可如果只能选其中一样,那该怎么办?我今年78岁,现在没剩几颗好牙,"牙齿都没了,吃都吃不了,花那么多钱出去玩哪有什么心情。
改变开始
2019年5月20日 种回一口好牙,生活又开始有滋有味
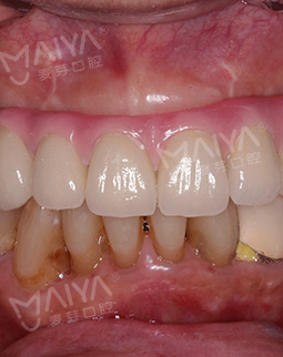
距离我上次做种牙手术,又一个多月了。今天来院复诊,“现在,我的牙好了,整个人精神面貌也恢复了,种回一口好牙,现在不仅恢复了身体健康,还找回了缺牙前那种想吃就吃的好心情,什么果什么肉随便吃,消化好吃嘛嘛香!”复查时,肖阿姨激动地说。虽然要来医院进行牙齿维护,但是为了我的牙齿健康,还是得坚持,毕竟牙齿陪伴一生,没有了它吃什么都没味道。真的非常感谢麦芽给了我再尝美味的机会。

2019年4月15日 两个小时种好牙,一劳永逸享口福
今天来院种牙,肖阿姨满心欢喜地来到麦芽口腔,赵院长仅花了不到两个小时就为她种好了牙齿,种完牙后,肖阿姨竖起了大拇指:"种牙一点都不痛,打麻醉也很到位,用的针很小,我这么瘦都没什么感觉,胖一点更不会有。没有想象中可怕,整个过程很快,我也很放松,赵院长技术真的非常棒,术后没有不适感。"如今,肖阿姨看上去仿佛年轻了10岁,有了牙齿能够享口福了,生活也更加滋润。"现在有口福了,出去旅行才有意义。"说起种牙的愿望,肖阿姨说道。
2019年4月2日 信任郑院带领的团队,选择麦芽口腔种牙
经过多番打听,肖阿姨了解到种植牙可以恢复咀嚼功能,又听说种牙效果跟真牙一样,遂下定了决心种牙。她四处查看口腔医院,我曾是一名医生,深知医生技术在治疗过程中的重要性,最终选择了拥有博士种植专家团队的麦芽口腔。第一次来到麦芽口腔,肖阿姨就被麦芽口腔的真挚打动:"工作人员太热情了,像在自己家一样,选择麦芽口腔做种植牙我很放心!"
为了确保种植手术的安全性,在种植术前,麦芽口腔宝安机构赵旭峰院长为肖阿姨做了全面检查,考虑到肖阿姨年龄大,又缺牙久,牙槽骨萎缩已经很严重。如果采用传统的种牙方法,不仅需要大量植骨,植骨后还需等待牙槽骨恢复,这将大大增加种植的时间。再三思索后,赵院长决定采用麦芽MAC数字化精确种植技术,这样仅需个别牙齿先植骨,再通过数字化导航技术精确植入植体就可恢复上半口牙齿。"来麦芽口腔果然没有错,年龄这么大,本来还担心能不能种,赵院长给我吃了一颗定心丸。"听完赵院长对方案的讲解后,肖阿姨心头的一块巨石终于落了下来。


2019年3月20日 历过荒年下过乡,更懂得口福重要
我现在也退休了,儿女和朋友邀请我去夏威夷、北京、杭州各地旅行,让我到处看看走走,好好享受老年生活,每次一提起这些我都摇头拒绝。"吃都吃不了,出去玩哪有心情。"肖阿姨说出了她的心结。早年经历过荒年也下过乡,肖阿姨懂得口福的重要,更想找一种一劳永逸的办法重拾口福。

2019年3月5日 长久缺牙,给我的生活带来了很大困扰
长久以来,缺牙给我的生活带来了很大的困扰,咀嚼力大不如从前,每次吃东西都是囫囵吞枣,吸收不好,身体也日渐消瘦。牙齿缺失,就连整个面颊也塌了下去,现在整个人都瘦了一圈。谈起自己为什么缺牙,肖阿姨打开了她回忆的大门。小时候牙齿就不好,没有口腔保健意识。读大学时,又恰逢遇上60年代大饥荒,平常的一份饭要分成好几份,吃不饱,也就无暇顾及牙齿。大学毕业后又遇到知青下乡,条件更加艰苦,饮水还成问题,洗脸的水都没有,刷牙自然是不可能,所以我从50多岁就开始缺牙了。为了修复我这缺牙问题,去做过烤瓷牙,也戴过假牙,都不舒服。由于当年的口腔医疗技术不发达,固定修复要磨邻·牙,没过几年邻牙也坏了,最终导致好牙所剩无几,说起这些,都是伤心事啊。


2019年2月21日 人到晚年,牙齿所剩无几,想吃吃不了
人到晚年,生活品质尤为重要,去旅行、享口福都是提升生活品质的方式。可如果只能选其中一样,那该怎么办?我今年78岁,现在没剩几颗好牙,"牙齿都没了,吃都吃不了,花那么多钱出去玩哪有什么心情。"当朋友邀我去夏威夷旅游时,提不起半点兴趣。
*提交信息后,工作人员将致电回访,与您确定到院时间,小麦为您自动排号,为您节省看牙的时间。












转载
咨询














































